Come funziona
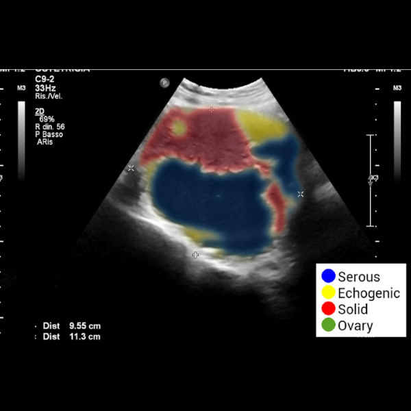
OvAi Focus utilizza algoritmi di AI addestrati per supportare la descrizione oggettiva delle strutture anatomiche, integrandosi nel flusso di lavoro senza interruzioni. Il software analizza l’imaging, identificando ed evidenziando l’organo e le strutture funzionali attraverso la definizione dei profili anatomici.
In presenza di lesioni, il sistema attiva le funzioni di caratterizzazione:
In presenza di lesioni, il sistema attiva le funzioni di caratterizzazione:
- Individua le aree solide e liquide della massa tramite codifica in falsi colori.
- Discrimina tra componenti anecogene, sierose e zone iperecogene
- Calcola il rapporto tra area solida e area totale (criteri IOTA) per una refertazione oggettiva.






.png)

.png)

